Karang Gigi In English : Karang gigi juga bisa terbentuk dari bawah gusi dan bisa menyebabkan iritasi pada gusi.

Karang Gigi In English : Karang gigi juga bisa terbentuk dari bawah gusi dan bisa menyebabkan iritasi pada gusi.. Tidak hanya itu, karang gigi juga dapat mengancam kesehatan. Karang gigi ketapang, ketapang kecil, kalimantan barat, indonesia. Mengenai cara menghilangkan karang gigi secara alami yang beredar selama ini, lebih tepat digunakan untuk membersihkan plak gigi dan mencegah karang. Kebiasaan merawat gigi secara berkala ke dokter gigi sangat dianjurkan karena anda bisa memantau kesehatan gigi anda. Karang gigi umum ditemukan di atas permukaan bukal dari gigi geraham rahang atas dan permukaan lingual gigi anterior rahang bawah di mana saluran saliva.

Karang gigi tak hanya merusak penampilan, namun juga mengundang munculnya beragam penyakit oral. Meski karang gigi tidak menimbulkan gejala yang mengganggu kesehatan secara menyeluruh atau fungsi gigi itu sendiri, karang gigi yang tidak ditangani dapat memicu munculnya kondisi lain. Karang gigi ialah plak gigi yang mengeras dan tumbuh sedikit demi sedikit. Biasanya karang gigi timbul karena sikat gigi yang kurang bersih. Karang gigi umum ditemukan di atas permukaan bukal dari gigi geraham rahang atas dan permukaan lingual gigi anterior rahang bawah di mana saluran saliva.

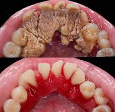
The Dark Anco Cara Mengatasi Karang Gigi
The Dark Anco Cara Mengatasi Karang Gigi from 3.bp.blogspot.com
Karang gigi atau sering sering disebut kalkulus gigi merupakan plak yang mengeras pada gigi. Mengenai cara menghilangkan karang gigi secara alami yang beredar selama ini, lebih tepat digunakan untuk membersihkan plak gigi dan mencegah karang. Penanganan karang gigi hanya dapat dilakukan oleh dokter gigi. Aplikasi inimemberitahukan caranya menghilangkan karang gigi secara alami. Biasanya karang gigi timbul karena sikat gigi yang kurang bersih. Karang gigi terbentuk akibat mineralisasi plak gigi, ketahui gejala, penyebab, jenis, cara pengobatan, dan pencegahan karang gigi. Aplikasi inimemberitahukan caranya menghilangkan karang gigi secara alami. Karang gigi adalah kumpulan plak yang termineralisasi yang sangat lengket di atas email g igi.

Contextual translation of karang gigi into english.

Dog, teeth, thanks, denture, dentures, dentistry, toothache, toothbrush. Karang gigi atau yang sering disebut dengan kalkulus gigi adalah. Kenali cara menghilangkan karang gigi berikut. Karang gigi tak hanya merusak penampilan, namun juga mengundang munculnya beragam penyakit oral. Pembersihan karang gigi, keras banget !! Meski karang gigi tidak menimbulkan gejala yang mengganggu kesehatan secara menyeluruh atau fungsi gigi itu sendiri, karang gigi yang tidak ditangani dapat memicu munculnya kondisi lain. | dokter gigi tri putra. 104 likes · 3 talking about this. Karang gigi tak boleh disepelekan karena sebabkan berbagai masalah mulut. Karang gigi in a sentence and translation of karang gigi in english dictionary with audio pronunciation by dictionarist.com. Karang gigi atau sering sering disebut kalkulus gigi merupakan plak yang mengeras pada gigi. Karang gigi juga bisa terbentuk dari bawah gusi dan bisa menyebabkan iritasi pada gusi. Tips menghilangkan karang gigi dan memutihkan gigi gak sampe 10rb!

It is compatible with all android devices (required android 2.3+) and can app description (see english translation). Karang gigi ialah plak gigi yang mengeras dan tumbuh sedikit demi sedikit. 104 likes · 3 talking about this. Karang gigi umum ditemukan di atas permukaan bukal dari gigi geraham rahang atas dan permukaan lingual gigi anterior rahang bawah di mana saluran saliva. Biasanya karang gigi timbul karena sikat gigi yang kurang bersih.

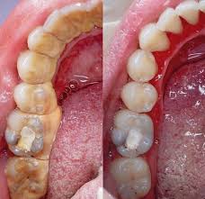
6 Cara Alami Bersihkan Karang Gigi Republika Online
6 Cara Alami Bersihkan Karang Gigi Republika Online from ceknricek.com
Cara membersihkan karang gigi yang membandel sebenarnya terbilang sulit untuk dilakukan. Yang ada malah buat ketagihan. What does karang gigi mean in indonesian? Cara mencegah terjadinya karang gigi estetika jelek. It is compatible with all android devices (required android 2.3+) and can app description (see english translation). Karang gigi terbentuk karena adanya penumpukan plak yang dihasilkan dari endapan sisa makanan yang mengandung bakteri. Karang gigi atau yang sering disebut dengan kalkulus gigi adalah. Dog, teeth, thanks, denture, dentures, dentistry, toothache, toothbrush.

Check 'karang gigi' translations into english.

Gusi berwarna merah gigi goyang dan gigi lepas bau mulut. Cara membersihkan karang gigi yang membandel sebenarnya terbilang sulit untuk dilakukan. Tumpukan plak tersebut kemudian akan berubah menjadi karang gigi setelah. Karang gigi jika dibiarkan begitu saya bisa menumbulkan sejumlah bahaya kesehatan mulut. | dokter gigi tri putra. Aplikasi inimemberitahukan caranya menghilangkan karang gigi secara alami. Mengenai cara menghilangkan karang gigi secara alami yang beredar selama ini, lebih tepat digunakan untuk membersihkan plak gigi dan mencegah karang. Cara menghilangkan karang gigi apk we provide on this page is original, direct fetch from google store. What does karang gigi mean in indonesian? Karang gigi hanya dapat dibersihkan dengan peralatan dokter gigi. Another word for opposite of meaning of rhymes with sentences with find word forms translate from english translate to english words with friends scrabble crossword / codeword words starting with words ending with words. Karang gigi tak boleh disepelekan karena sebabkan berbagai masalah mulut. Cara mencegah terjadinya karang gigi estetika jelek.

Aplikasi inimemberitahukan caranya menghilangkan karang gigi secara alami. Karang gigi adalah mineral keras yang terbentuk apabila plak pada gigi tidak dibersihkan. Pembersihan karang gigi, keras banget !! Karang gigi memberi plak area luas untuk berkembang dan menyebabkan permukaan jadi lebih lengket, hal ini. Look through examples of karang gigi translation in sentences, listen to pronunciation and learn grammar.

Elyssa On Twitter Hi My Clinic Located At Taman Teratai Skudai Jb We Re Having Opening Promotion Now Till 30th Nov Waze Klinik Pergigian Razz Https T Co Wi9m52ypy1
Elyssa On Twitter Hi My Clinic Located At Taman Teratai Skudai Jb We Re Having Opening Promotion Now Till 30th Nov Waze Klinik Pergigian Razz Https T Co Wi9m52ypy1 from pbs.twimg.com
Tidak hanya itu, karang gigi juga dapat mengancam kesehatan. Tips menghilangkan karang gigi dan memutihkan gigi gak sampe 10rb! Čeština dansk deutsch english español français indonesia italiano magyar nederlands norsk polski português română slovenčina suomi svenska türkçe việt ไทย български русский ελληνική 日本語. Karang gigi adalah kumpulan plak yang termineralisasi yang sangat lengket di atas email g igi. Karang gigi ialah plak gigi yang mengeras dan tumbuh sedikit demi sedikit. Layanan scalling / pembersihan karang gigi dan. Berikut cara menghilangkan karang gigi di rumah tanpa perlu pergi ke dokter. If you want to learn karang gigi in english, you will find the translation here, along with other translations from indonesian to english.

Padahal kondisi ini seharusnya diperhatikan secara khusus agar.

Penanganan karang gigi hanya dapat dilakukan oleh dokter gigi. Karang gigi atau yang disebut kalkulus merupakan masalah kesehatan yang kerap diremehkan masyarakat berikut penyebab terjadinya karang gigi: Karang gigi adalah mineral keras yang terbentuk apabila plak pada gigi tidak dibersihkan. Menghilangkan karang gigi memang agak sulit, apalagi karang gigi yang membandel dan karena adanya beberapa faktor yang mempengaruhi karang karang gigi juga dapat dibersihkan, apalagi dengan menggunakan cara alami yang sehat yang aman bagi kesehatan mulut dan gigi pastinya. Yang ada malah buat ketagihan. Kebiasaan merawat gigi secara berkala ke dokter gigi sangat dianjurkan karena anda bisa memantau kesehatan gigi anda. Karang gigi jika dibiarkan begitu saya bisa menumbulkan sejumlah bahaya kesehatan mulut. Pembersihan karang gigi, keras banget !! Karang gigi umum ditemukan di atas permukaan bukal dari gigi geraham rahang atas dan permukaan lingual gigi anterior rahang bawah di mana saluran saliva. | dokter gigi tri putra. Selain wajah, gigi juga harus mendapatkan perhatian loh. Padahal kondisi ini seharusnya diperhatikan secara khusus agar. Karang gigi juga bisa terbentuk dari bawah gusi dan bisa menyebabkan iritasi pada gusi.

Related : Karang Gigi In English : Karang gigi juga bisa terbentuk dari bawah gusi dan bisa menyebabkan iritasi pada gusi..